Bees work for us. They need our help.
Reducing excessive pesticide use and protecting bee habitat can help both pollinating bees and the supply of food. Bees need help.
Reducing excessive pesticide use and protecting bee habitat can help both pollinating bees and the supply of food. Bees need help.

We’re not talking about throwing crazy berserk planting parties, but what an idea! The enthusiastic (have you ever been around a birder who spots a new bird?) Tulsa Audubon Society hosted their 29th annual Wildlife Habitat Garden Tour & Plant Sale May 14-15. The theme: “Gardening for Wildlife. Invite nature to your yard.” Five private residences have planted their landscapes to share with wildlife. We humans were invited to visit these private spaces that nurture native plants, including host plants for butterflies. Clean water was available in every single garden, along with birdhouses, rocks, trees and cool paths to wander. The gardens provided nourishment and shelter year-round, but this time of year, the spring flowers took center stage. Along with the PGA Tournament. More on that later.

U.S. District Judge Janis Jack said Monday she plans to levy “substantial fines” against Texas for failing to comply with her orders to fix its troubled foster care system.

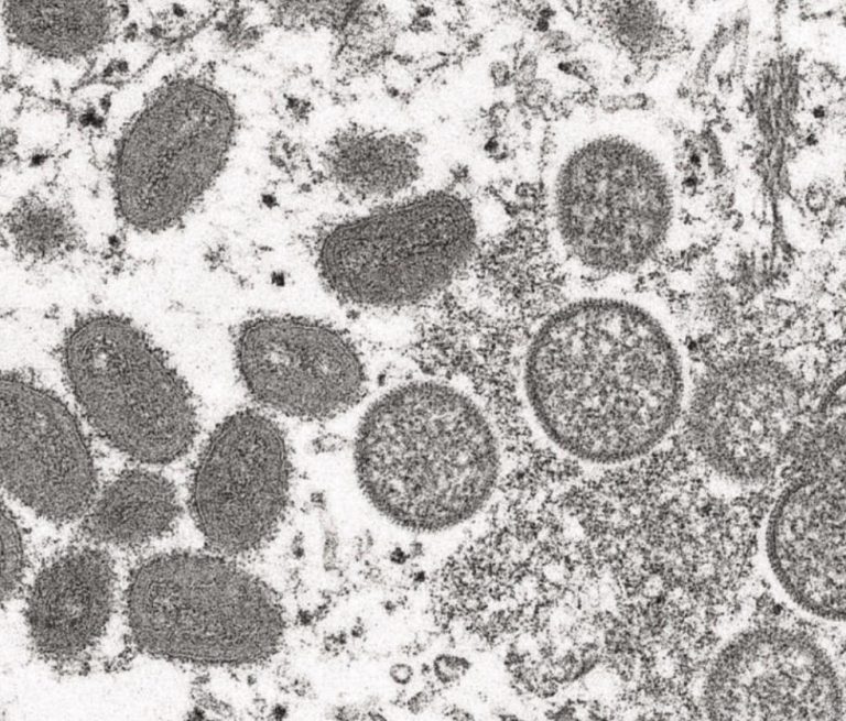
DALLAS (AP) — A Dallas County resident has contracted the first case of monkeypox reported in Texas, state and county health officials revealed Tuesday. A test for the viral disease came back positive for monkeypox, and the patient is isolated at home, officials said in separate statements.

A fire at Kelly Square on Halloween in 2021 displaced stores inside the landmark in downtown Sherman, but one is returning back from the ashes. Wolverine Comics will reopen on July 1 right where the owners want to be in downtown Sherman.

The summer camp season is in full swing as Southeastern Oklahoma State University is hosting/providing activities for students of almost every age. Camps and instruction are being offered in a wide array of fields – from aviation to athletics to STEM (Science-Technology-Engineering-Math) to robotics to Upward Bound to IT (Information Technology).

Local folks who like live music and fresh air are in for a continued treat this week as both Hot Summer Nights in Sherman and Music on Main in Denison feature country music artists sure to get people tapping their feet.

Last year the number of people killed in vehicle crashes in Texas reached a level not seen since 1981, and 34% of those deaths involved speed. In 2021, speed was the main reason we saw 163,756 traffic crashes in Texas, resulting in 6,493 serious injuries and 1,532 fatalities. That’s why TxDOT’s “Be Safe. Drive Smart.” campaign is urgently reminding motorists to slow down and drive a safe speed.

Now that summer is in full swing, I decided I might actually try to grow something pretty for my front yard. In years past, I have tried to grow my favorite flowers, hydrangeas, but have never really had much success at it.

The man who served Grayson County as Sheriff from Nov. 1, 1976 through Dec.